Bunions are bony bumps that form at the base of the big toe, often causing pain and discomfort. When conservative treatments like orthotics or pain medication fail to provide relief, bunion surgery may be considered. If you’re contemplating bunion surgery, it’s essential to understand what to expect before, during, and after the procedure.
Before the Surgery
- Consultation: Your surgeon will assess the severity of your bunion and discuss the surgical options available. They will also review your medical history and any medications you’re taking.
- Pre-operative Tests: You may need to undergo blood tests or an electrocardiogram (ECG) to ensure your general health is suitable for surgery.
- Planning: Discuss your recovery plans with your surgeon, including arrangements for transportation and assistance during the healing process.
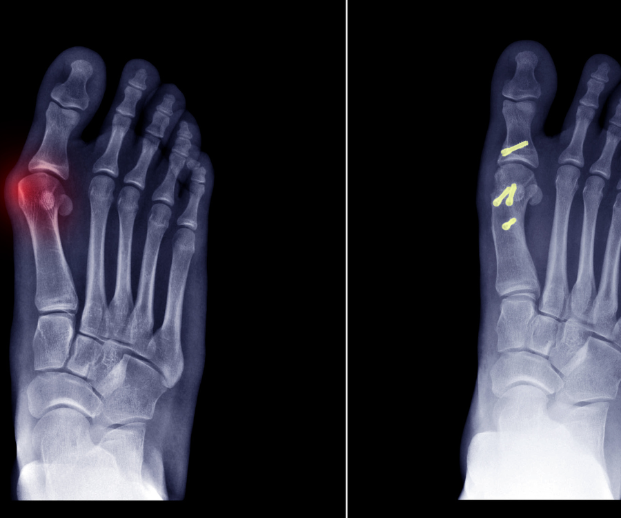
The Surgical Procedure
Bunion surgery can be performed using various techniques, depending on the severity of the bunion and your surgeon’s preference. Common procedures include:
- Lapidus Procedure: This involves fusing the joint between the big toe and the first metatarsal bone.
- Chevron Osteotomy: This procedure involves cutting and realigning the first metatarsal bone to correct the angle of the big toe.
- Excision of the Bunion: In some cases, the surgeon may simply remove the bony bump of the bunion.
Recovery and Aftercare
- Immobilization: Your foot will likely be immobilized in a cast or splint for several weeks after surgery.
- Pain Management: You will be prescribed pain medication to manage discomfort during the healing process.
- Physical Therapy: Rehabilitation plays a crucial role in restoring your foot’s function and range of motion. A physical therapist will guide you through exercises and stretches to strengthen your foot and ankle.
- Follow-up Appointments: Regular follow-up visits with your surgeon are essential to monitor your healing progress and address any concerns.
Tips for a Successful Recovery
- Rest and Elevation: Rest your foot as much as possible and elevate it above your heart to reduce swelling.
- Avoid Weight-Bearing: Avoid putting weight on your foot for the recommended period.
- Adhere to Instructions: Follow your surgeon’s instructions regarding wound care, medication, and physical therapy.
- Be Patient: Healing takes time, and it may take several months before you can fully resume normal activities.
Remember, the recovery process varies from person to person. By following your surgeon’s guidelines and taking care of your foot, you can optimize your healing and return to your daily activities.


No comment